服务热线
02152235399
首页
基因测序
单细胞测序
单细胞核测序
单细胞ARC测序
单细胞测序PanoCell
单细胞TCR/BCR测序
BD Ab-Seq
空间转录组测序
常规转录组测序
全转录组测序
Small RNA测序
多重荧光免疫组化
原位空间组学
单细胞测序
空间多组学
生物大数据
科学研究
新闻动态
学习视频
实验平台
科研文献
烈冰智造
关于我们
烈冰故事
企业资质
加入我们
联系我们
博客
当前位置:
首页
>
科学研究
>
医学及细胞生物学研究
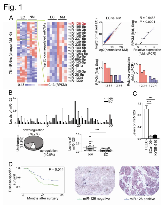
Liu R, et al. DNMT1-microRNA126 epigenetic circuit contributes to esophageal squamous cell carcinoma growth via ADAM9-EGFR-AKT signaling. Clin Cancer Res. 2015 Feb 15;21(4):854-63. (IF=8.193)
时间:2015-02-01
上一篇:
Cai Z, et al. Transcriptomic analysis of hepatic responses to testosterone deficiency in miniature pigs fed a high-cholesterol diet. BMC Genomics. 2015 Feb 6;16:59. (IF=4.041)
下一篇:
Xu, T.,et al. High-throughput RNA sequencing reveals the effects of 2,2′,4,4′ -tetrabromodiphenyl ether on retina and bone development of zebrafish larvae. BMC Genomics.2015 Jan;16(1):23.(IF=3.729)